許多病友因為牙冠斷裂來找高雄欣美牙醫幫忙
當牙齒不見只剩下牙根心情都很焦慮擔心
高雄欣美牙醫會先做X光片檢查
若牙根結構完整可以支撐
會先根管治療也就是俗稱抽神經
之後製作鑄心恢復牙齒高度
鑄心製作完成後就如同一般程序
製作全瓷假牙套起來就可以了
高雄欣美牙醫建議
只要牙根結構還健全保留牙齒的機會仍舊很大喔
欣美牙醫線上約診 https://pse.is/5nuc5u
欣樂牙醫線上約診 https://pse.is/5qzh4f
比較殘存牙根與假牙完成後的差別
蛀牙只剩殘存牙根
完成根管治療
製作牙鑄心完成牙冠增長手術
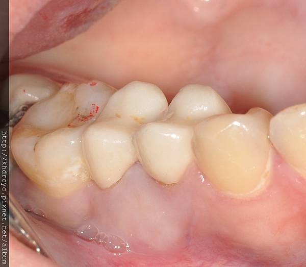
全瓷假牙完成
了解殘存牙根治療後裝上鑄心
裝上假牙後就可以正常的吃東西了
欣美牙醫線上約診 https://pse.is/5nuc5u
欣樂牙醫線上約診 https://pse.is/5qzh4f
仁武的C小姐有相同問題
兩顆小臼齒因為蛀牙只剩殘存牙根
帶著恐懼與擔心來找高雄欣美牙醫求助
高雄欣美牙醫先幫仁武的C小姐
將這兩顆牙齒完成根管治療
也就是俗稱的抽神經
製作牙鑄心之後再幫
仁武的C小姐完成牙冠增長手術
當全瓷假牙完成
仁武的C小姐已經能從容的笑了
她告訴高雄欣美牙醫
以後一定會照著正確的方式使用牙刷牙線
不但要用好幾十年還要讓其他牙齒都不要變成這樣
後來許多從仁武來的患者
都是仁武的C小姐介紹的呢
立即預約欣美牙醫 : 07-5560111
欣美牙醫線上約診 https://pse.is/5nuc5u
欣樂牙醫線上約診 https://pse.is/5qzh4f
欣樂牙醫IG singmate_le FB singmate02






![[假牙牙套] 牙齒斷掉只剩下牙根 怎麼保留 需要拔除嗎? 高 [假牙牙套] 牙齒斷掉只剩下牙根 怎麼保留 需要拔除嗎? 高](https://pic.pimg.tw/khdrcyc/1515758553-582724821_n.jpg)


